We've been privileged to change the lives of many people over the years.
Here are some of the smiles we've improved.

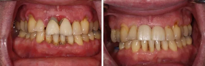
After struggling for years with an unreliable dental bridge, this patient was ready for a permanent solution for his missing front tooth. We placed a dental implant with a bone graft to create a strong, stable foundation, allowing his dentist to complete his smile with a beautiful new crown.
























